Maintenance
Commit Frequency
Further analysis of the maintenance status of nobrainer based on released PyPI versions cadence, the repository activity, and other data points determined that its maintenance is Inactive.
An important project maintenance signal to consider for nobrainer is that it hasn't seen any new versions released to PyPI in the past 12 months, and could be considered as a discontinued project, or that which receives low attention from its maintainers.
In the past month we didn't find any pull request activity or change in issues status has been detected for the GitHub repository.
Figure: In the first column are T1-weighted brain scans, in the middle
are a trained model's predictions, and on the right are binarized FreeSurfer
segmentations. Despite being trained on binarized FreeSurfer segmentations,
the model outperforms FreeSurfer in the bottom scan, which exhibits motion
distortion. It took about three seconds for the model to predict each brainmask
using an NVIDIA GTX 1080Ti. It takes about 70 seconds on a recent CPU.
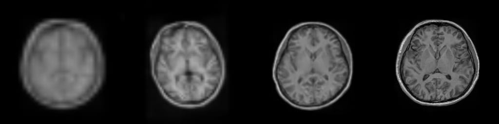
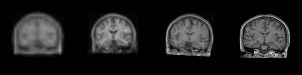
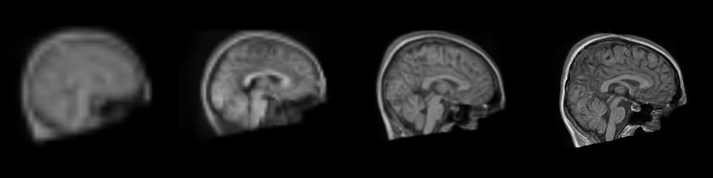
Figure: Progressive generation of T1-weighted brain MR scan starting
from a resolution of 32 to 256 (Left to Right: 323, 643,
1283, 2563). The brain scans are generated using the same
latents in all resolutions. It took about 6 milliseconds for the model to generate
the 2563 brainscan using an NVIDIA TESLA V-100.